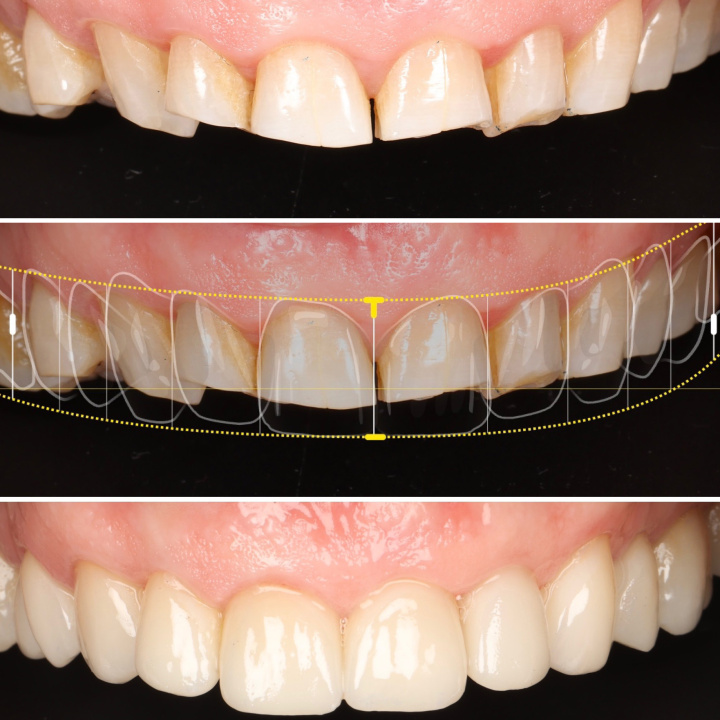
Facettes dentaires en céramique


Lors de ce RDV nous prendrons un maximum d’informations
vous concernant (photographies, radiographies, empreintes
numériques, enregistrement de la cinématique de vos
mâchoires…) afin de créer votre « jumeau numérique »
et vous présenter un projet esthétique virtuel personnalisé.
En accord avec vos préférences, nos résultats d’examens,
et le respect de vos contraintes anatomiques, nous pourrons
alors vous soumettre les détails d’un traitement sur mesure afin
de rendre votre sourire aussi esthétique que désiré.


